
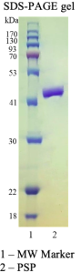
PreScission Protease is a fusion protein of glutathione S-transferase (GST) and human rhinovirus (HRV) type 14 3C protease. The protease specifically recognizes a subset of sequences which include the core amino acid sequence Leu-Phe-Gln/Gly-Pro cleaving between the Gln and Gly residues. Substrate recognition and cleavage are likely to be dependent not only upon primary structural signals, but also upon the secondary and tertiary structures of the fusion protein as well.